CARILLAS DENTALES
Desea lucir una sonrisa blanca y perfecta? ¿Desea someterse a tratamientos dentales de última tecnología bajo las manos de excelentes odontólogos especializados en la rehabilitación y estética dental?
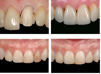
El Consultorio Dental Sonrisalud de la Dra Juliana Giacomin en Hernandarias le brinda todo lo que busca en un odontólogo, con la última tecnología en tratamientos dentales procedimientos odontológicos. Para corregir decoloraciones, roturas o defectos leves en la dentadura, las carillas dentales de porcelana son la mejor opción, ya que son restauraciones dentales que cubren toda la parte frontal de un diente, generalmente empleadas en la parte anterior del diente.
Las carillas dentales de porcelana tienen una finalidad enteramente estética, ya que son fáciles y rápidas de instalar y el procedimiento no es doloroso para los pacientes. Las carillas son fijadas al diente por medio de resinas o "pegamentos", que permiten que ésta se fije perfectamente a los dientes a corregir.
Las carillas dentales presentan varias ventajas con respecto a otros tipos de prótesis dentales, tratamientos odontológicos o restauraciones dentales, ya que permiten mejorar la estética del paciente notablemente, modificando la forma, posición y color de los dientes afectados. Es un procedimiento rápido y conservador para modificar la estética de uno o varios dientes sin necesidad de extraer ninguna pieza dental.
La resistencia a la fricción, al desgaste y a la fractura es mucho mayor que en las restauraciones de resinas compuestas y son biocompatibles, mantienen el color y el brillo de los dientes y son homogéneas, lo que significa que no retienen placa bacteriana ni se tiñen.
En nuestro consultorio clínico dental le ofrecemos la última tecnología en carillas dentales PROCERA. Estas carillas presentan un delgado centro de aluminio que las hace especialmente resistentes y duraderas, tienen una excelente capacidad de ocultación y son significativamente mejor con respecto al costo-efectividad que otros tipos de carillas convencionales.
Las carillas de porcelana son restauraciones dentales que cubren toda la parte frontal de un diente, generalmente empleadas en la parte anterior del diente, para corregir decoloraciones, roturas o defectos en los dientes. Las carillas de porcelana tienen una finalidad enteramente estética, ya que son fáciles y rápidas de instalar y el procedimiento no es doloroso para los pacientes. Las carillas son fijadas al diente por medio de resinas o "pegamentos", que permiten que ésta se fije perfectamente a los dientes a corregir.
Las carillas de porcelana presentan varias ventajas con respecto a otros tratamientos odontológicos o restauraciones dentales, ya que permiten mejorar la estética del paciente notablemente, modificando la forma, posición y color de los dientes afectados. Es un procedimiento rápido y conservador para modificar la estética de uno o varios dientes sin necesidad de extraer ninguna pieza dental.
Así mismo, la resistencia a la fricción, al desgaste y a la fractura es mucho mayor que en las restauraciones de resinas compuestas. De igual manera, son biocompatibles, mantienen el color y el brillo de los dientes y son homogéneas, lo que significa que no retienen placa bacteriana ni se tiñen.
Las carillas de porcelana son restauraciones dentales que cubren toda la parte frontal de un diente, generalmente empleadas en la parte anterior del diente, para corregir decoloraciones, roturas o defectos en los dientes.
Edición Nº 89 Dic/11.


Comentar